Especialize-se em Citologia Clínica na Faculdade GPI!
Um programa exclusivo para Biomédicos, Farmacêuticos e Médicos.
Imersão total com 435 horas de carga horária, incluindo 16 módulos práticos.
Aprofunde-se em Citologia com foco em líquidos cavitários e preparação de laudos, capacitando-se para se destacar no campo da saúde:
Anatomia, Fisiologia e Histologia do Trato Genital Feminino
Este módulo oferece uma compreensão integral dos processos patológicos que afetam as células e tecidos, introduzindo conceitos de patologia celular e mecanismos de doença em um nível microscópico. Estudantes ganharão insights sobre como as alterações celulares levam a manifestações patológicas.
Análise detalhada do impacto dos hormônios no epitélio do trato genital feminino, este módulo ensina a identificar as variações citológicas induzidas por flutuações hormonais, essenciais para a avaliação da saúde reprodutiva feminina.
Citologia Oncótica II: Citologia dos Processos Inflamatórios, Reacionais Não-neoplásicos e Microflora Vaginal
Laboratório de Citologia Clínica I: Avaliação de Casos Clínicos
Este módulo prático imerge os estudantes na avaliação de casos clínicos reais, utilizando amostras citológicas para diagnóstico, enfatizando a aplicação prática do conhecimento teórico.
Aprofundamento na análise e interpretação de laminários e laudos citológicos não-neoplásicos, capacitando os alunos na elaboração de diagnósticos detalhados e precisos.
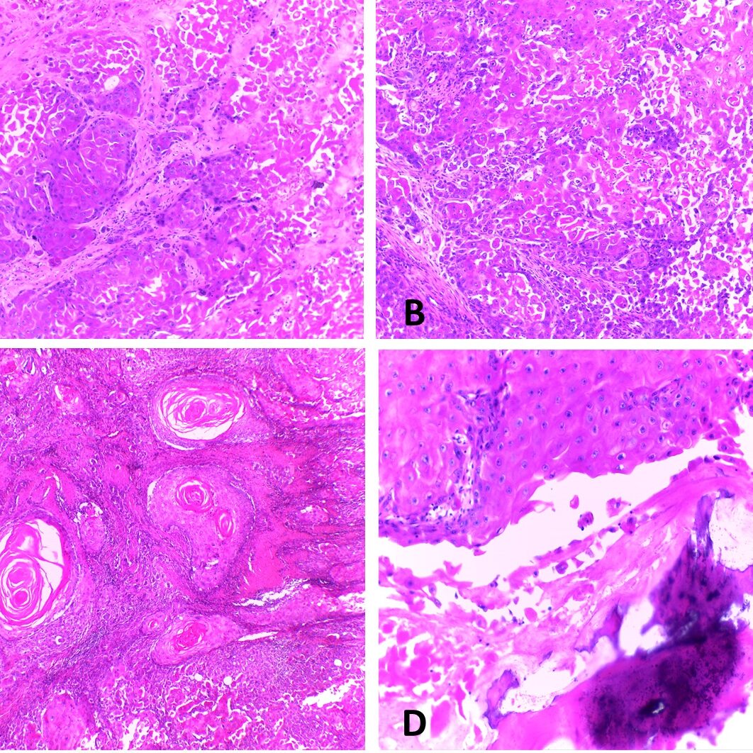
Este módulo detalha a identificação e o diagnóstico de carcinoma escamoso e atipias glandulares, dois importantes aspectos na detecção precoce de cânceres ginecológicos.
Citologia Mamária
Aborda a citopatologia de líquidos cavitários e urinária, ensinando técnicas para identificar células em fluidos corporais, uma habilidade vital para diagnósticos clínicos diversos.
Espermograma
Este módulo oferece uma visão abrangente da análise de espermograma, fundamental para avaliar a saúde reprodutiva masculina e investigar causas de infertilidade.
Por que escolher a Faculdade GPI?
Junte-se a uma faculdade reconhecida por sua excelência e inovação no campo da saúde. A Faculdade GPI destaca-se pela qualidade de ensino e pesquisa, preparando você para ser um líder em Citologia Clínica.
Histórias de sucesso dos nossos Pós-Graduandos
Confira porque eles escolheram fazer a Pós-graduação na Faculdade GPI
Vivencie nossas aulas: A experiência que eleva sua formação
Faça a sua Especialização na Melhor Faculdade de Pós-Graduação do Brasil
Você ainda terá os seguintes benefícios por ser nosso aluno:
Preencha as informações abaixo:
Tire suas dúvidas sobre a pós-graduação.
O curso tem duração total de 435 horas, distribuídas em diversos módulos especializados.
Sim, o programa é 100% presencial em Teresina, PI, proporcionando uma experiência prática e interativa.
Sim, oferecemos suporte contínuo aos nossos ex-alunos, incluindo orientação profissional e acesso à nossa rede de contatos.
Ainda em dúvida? Descubra por que a Faculdade GPI é a escolha certa!
Nosso campus e instalações são projetados para fomentar a aprendizagem e a pesquisa, com laboratórios modernos, bibliotecas vastas e espaços para colaboração e inovação.
Com uma abordagem prática e tecnologicamente avançada, oferecemos uma experiência educacional que vai além do convencional, equipando você com conhecimentos e habilidades práticas indispensáveis na Citologia Clínica.
Aprenda com os melhores! Nossos professores são líderes reconhecidos em suas áreas, trazendo uma riqueza de conhecimento e experiência prática para enriquecer sua jornada educacional.